Explain the Difference Between a Fracture and a Broken Bone
To say break would still be correct but more colloquial. A fracture occurs when a bone is struck by something stronger than the bone itself.
Broken Bone Information Mount Sinai New York
A compound fracture or open fracture breaks the bone and then the broken pieces of bone pierce the skin.
. A fracture is defined as any loss of continuity of the bone. The tibia shinbone fibula lower leg and the ankle bone talus. A fracture occurs when a bone is struck by something stronger than the bone itself.
This causes it to break. Fractures are quite common and an average person has at least two fractures during a lifetime. I think i have bennets fracture my bone sore after three days still the bone feels crushed.
Surgery is used to clean out the wound and open fracture. A complete break or fracture occurs when too much force is put on a bone. A fracture is an interruption of the continuity of bone this page will discuss ankle and foot fractures and the role that physiotherapists play in the rehabiliation of such injuries.
Some people assume that fractured bones are more serious than broken bones while others assume its the other way around. The terms are actually interchangeable and both refer to a bone that has been shattered often by excessive force. Why Bones Break.
The words fracture and break mean the same thing. Conversely a closed fracture is a broken bone that does not stick out through the skin. Does this sound like a break.
How does a broken bone happen. Some assume that a fracture isnt as serious as a broken bone but that isnt the case. Open fractures are much less common than closed fractures and often involve surgical treatment to realign the broken.
You get a fracture when your bone breaks due to extensive force that stretches the osseous tissue in the bone beyond limit. Car accidents sports injuries and falls are common causes of. This causes it to break.
What is the difference between a cracked bone and a fractured bone A 21-year-old male asked. If someone can still move the affected limb it is most likely sprained but if they cannot it is likely broken. A fracture and a break both occur in the bone but a fracture is a smaller break.
A simple fracture is a bone that is broken in two pieces while a complex fracture is broken into more than two pieces. Your ankle consists of three main bones. Car accidents sports injuries and falls are common causes of fractures.
A closed fracture is one in which the bone has broken but has not penetrated the skin. Another source of confusion stems from the difference between a closed fracture and a compound fracture. It happens suddenly rather than being an accumulation of repetitive stress on the bone.
In addition there is a high infection rate with open or compound fractures. They can be more painful require additional treatments and take longer to heal. The cause may either come from direct force directly onto the bone or indirect force where the force is transmitted through one or more bones injuring another ie.
Sometimes excess pressure is applied to a bone which results in the breaking of the bone this is called a fracture. According to Premier Orthopedics if the pain sensation is experienced around the soft tissue and not in the bone it is most likely a sprain. A fracture is a broken bone that requires immobilization with a cast or splint and sometimes surgery.
Painful and i feel a crack. A break in the hard tissue. Explain the Difference Between a Fracture and a Broken Bone.
A broken bone occurs because the amount of energy that the bone has to support is greater than the actual strength of the bone itself. Describe the steps involved in bone. Honestly I believe this comes from the use of the term hairline fracture which has come to mean a very small break in the bone that is as thin as a hair.
These are called stress fractures or hairline fractures. An open fracture involves a portion of the broken bone being exposed outside of the skin. It can be a pathological fracture caused by a disorder such as osteoporosis or it can be a traumatic fracture caused by extensive external forces.
Theres no difference between a fracture and a break. If youre one of them you may have heard the terms break and fracture and wondered about the difference between them. Contact San Diego Sports.
Your doctor may be more likely to use the term fracture. Repeated wear on a bone such as from running can also cause small fractures. All three join together at the ankle to give the joint its wide range of motion.
Report an incidence of up to 174 cases per 100 000 persons per year in a Finish population. This can mean that there was either a very high energy a very weak bone or an amount of energy over a long period of time that was too much for the bone to sustain. To be frank the term fracture is more professional sounding.
People often confuse a simple fracture with a complex fracture. A compound or open fracture is a surgical emergency. Falling onto an outstretched hand and fracturing a collar bone.
The common misconception is that a very small bone injury is referred to as a fracture and a significant bone injury is referred to as a break. Over 1 million Americans suffer bone injuries each year. A fracture is any loss of continuity of the bone.
Ankle fractures occur most often due to a car accident or a severe fall that breaks or chips one or all three bones. Most compound fractures require surgical intervention during treatment where the doctors will repair the. Stress fractures are not the same fractures and are usually treated differently.
Common Types of Fractures. Anytime the bone loses integritywhether its a hairline crack barely recognizable on an X-ray or the shattering of bone into a dozen piecesits considered a fracture. Though you can certainly injure bones to varying degreessmall aligned cracks are easier to treat than misaligned bones or ones with multiple breaksthe names fracture and broken bone mean the exact same thing.
Pain in the bone indicates a break. A broken bone is a fractured bone and vice versa. Bone fracture repair is a surgery to fix a broken bone using metal screws pins rods or plates to hold the bone in place.
Compound fractures are more serious than simple fractures. Differentiate among the different types of fractures. There are several treatments for a.
Quick Facts Overview Of Broken Bones Msd Manual Consumer Version
Fractures And Breaks What S The Difference
Fractures Bone Repair Biology Of Aging
How Bones Break Ask A Biologist
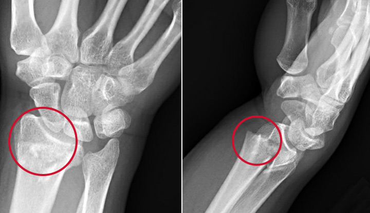
Colles Fracture Symptoms Causes Treatment
Fractured Broken Bone Compensation Claims Settlement Amounts
What Are The Different Types Of Fractures
Fractures Broken Bone Fremont Orthopedic Rehabilitation Medicine
The Orthopedic Institute At Southwest Health Types Of Fractures
Broken Bone Versus Fracture What Is The Difference Louisville Bones
10 Facts You Must Know About Bone Fractures
What Is The Difference Between A Fracture And A Break Accessortho
What Is The Difference Between A Fracture And A Broken Bone By Jesse Morse Brady Fnp Bc Fremont Orthopaedics Riverton And Lander Wyoming
Avulsion Fracture Treatment Types Recovery Time And Causes
Treatment For Broken Bones And Fractures Law Offices Of Gary Martin Hays Associates P C



Comments
Post a Comment